Tu salud bucal, facial y de cuello merece atención especializada
Si ya tienes un diagnóstico o una recomendación médica, estás a un paso de recibir el tratamiento adecuado.
En Oral & Facial Care, abordamos casos complejos con precisión quirúrgica, experiencia certificada y atención cálida, para devolverte calidad de vida y tranquilidad.
Agenda tu valoración por WhatsApp:
Cirugía Bucal
Intervenciones precisas para aliviar el dolor y recuperar tu funcionalidad oral
Implantología dental
Es el mejor tratamiento hasta la actualidad cuando el paciente presenta la necesidad de restaurar un solo diente, algunos o todos sus dientes.
El diagnóstico y la planificación del tratamiento son claves para el éxito al utilizar implantes dentales, para restaurar nuevamente la funcionalidad masticatoria, el habla, y devolver una sonrisa segura y confortable, ayuda a recuperar la alegría y la confianza en sí mismo.

Retención dental
Expresión frecuente: «Me duelen las muelas del juicio»
El tercer molar es el diente impactado con mayor frecuencia, sin embargo cualquier otro diente puede estarlo; hallazgo común entre adolescentes y en adultos jóvenes.
Minimizar los riesgos derivados de la extracción o cirugía de retención de dientes impactados y gestionar eficazmente las complicaciones cuando se presentan son funciones fundamentales del cirujano oral y maxilofacial en la práctica clínica actual.
Los dientes retenidos o incluidos (atrapados) no siempre se retiran, también a través de cirugía y ortodoncia se pueden reposicionar.
Regeneración ósea
Técnica para recuperar el hueso perdido antes de colocar implantes o después de extracciones complejas.
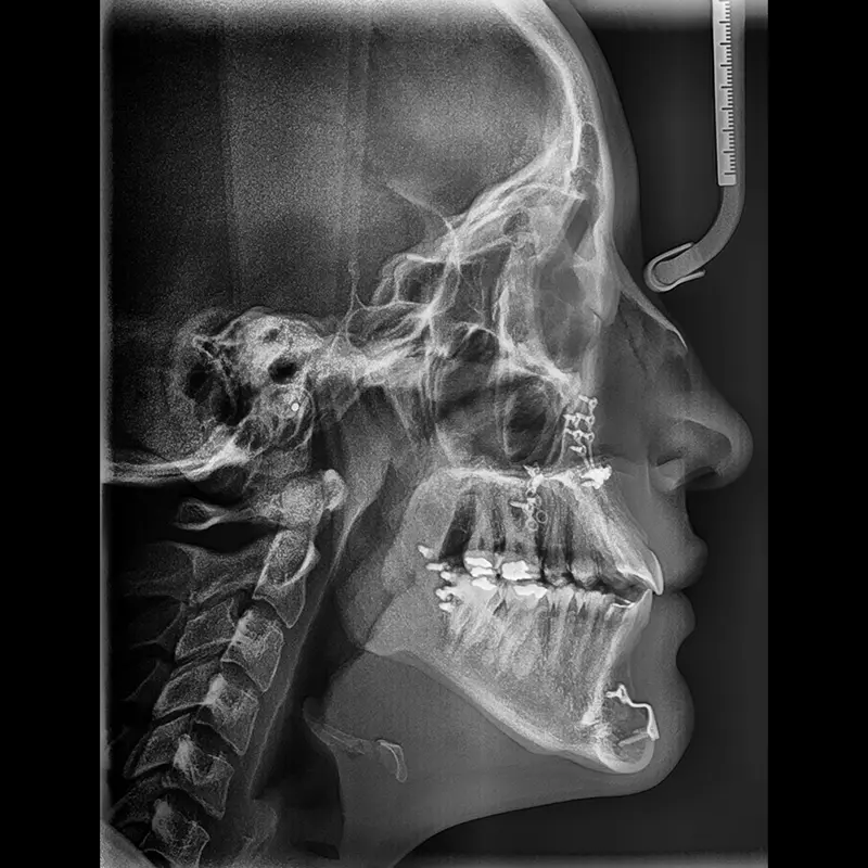
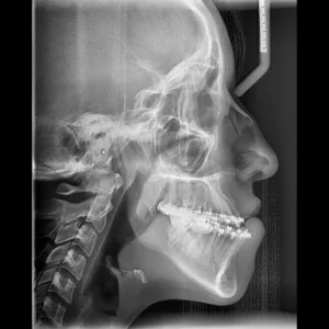
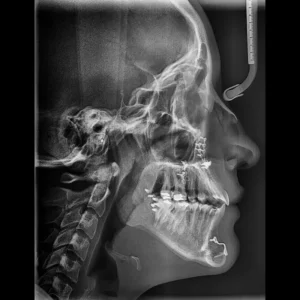
Cirugía Ortognática y Función Maxilar
Mejora tu estética facial y tu calidad de vida con un tratamiento funcional
Procedimientos mínimamente invasivos o quirúrgicos que mejoran la armonía del rostro, restauran simetría o corrigen efectos de enfermedades previas.
Cirugía ortognática (asimetrías faciales)
Corrección quirúrgica de deformidades óseas en mandíbula y maxilares para mejorar estética, mordida y respiración.
La cirugía ortognática, del griego orthos, «recto» y gnathos, «mandíbula», es una intervención quirúrgica que se encarga de corregir las deformidades dento-craneo-maxilofaciales mediante movimientos óseos maxilares y mandibulares, para lograr el equilibrio perfecto entre todas las características faciales del paciente.
Este tipo de alteraciones faciales aparecen en la fase de crecimiento de los pacientes, se estabilizan al final de la misma, y pueden causar problemas como apnea del sueño, trastornos de la ATM, problemas de maloclusión o falta de armonía esquelética, entre otros.
Trastornos de la articulación temporomandibular (ATM)
Diagnóstico y tratamiento de dolor, chasquidos o bloqueo al abrir la boca, causado por problemas en la articulación.
Hiperplasias o hipoplasias condilares
Es una enfermedad rara que se considera un crecimiento patológico y progresivo de uno o ambos cóndilos mandibulares, cuanto más grave es la patología, mayor asimetría y maloclusión desarrolla, que no solo afecta al desarrollo, masticación, deglución, habla, etc. si no que además esta particular entidad afecta altamente al individuo en un nivel psicosocial.
Maloclusión
Afecta el tipo de mordida con la función y perfilamiento del rastro.
No solo se trata de la forma y alineación de los dientes
Apnea del sueño (por obstrucción maxilofacial)
Una de cada 10 personas adultas en México podría padecer apnea obstructiva del sueño, siendo este un factor de riesgo de hipertensión y enfermedades vasculares, los hombres presentan dos veces más probabilidad de padecer este problema.
Los neumólogos subrayan la necesidad de crear conciencia sobre la importancia de atender la apnea obstructiva del sueño, ya que, al ser común, las personas minimizan el problema por la creencia de que roncar es normal.
Los síntomas de la apnea son relativamente fáciles de identificar consisten en un ronquido continuo y ruidoso y pausas en la respiración al dormir.
La investigación del Síndrome de Apnea Obstructiva del Sueño, ha demostrado científicamente que la cirugía ortognática y/o de estructuras de los maxilares es una solución definitiva a este problema en pacientes que presentan deformidades dentofaciales.
Enfermedades de Cabeza y Cuello
Detectamos y tratamos condiciones complejas con diagnóstico certero
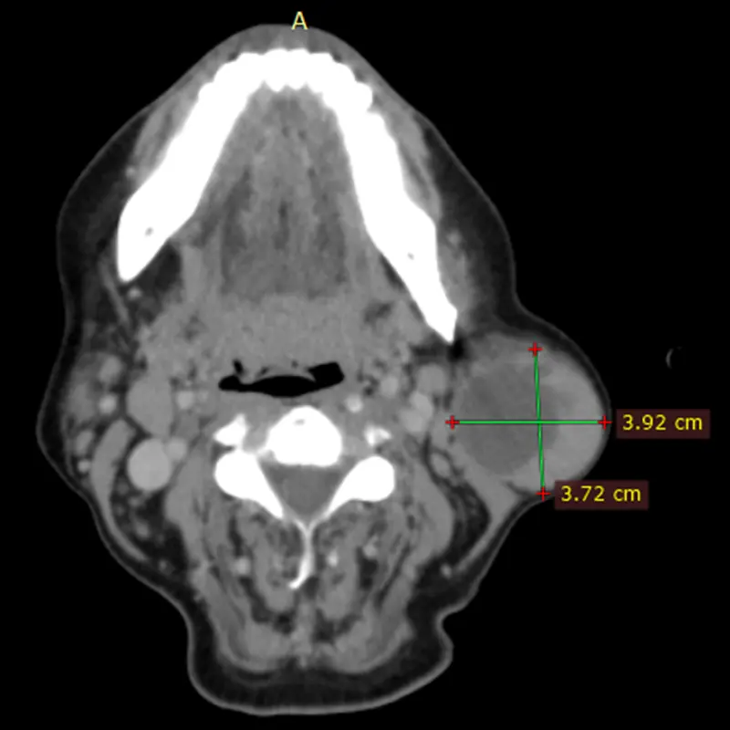
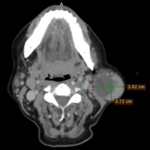
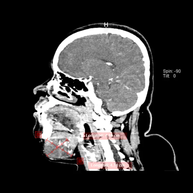
Tumores de cabeza y cuello
Dependiendo del caso es importante diagnosticar con precisión e individualizar el caso y no generalizar los tratamientos, por lo que deben ser tratadas por los especialistas adecuados.
Trabajamos en conjunto con equipo de cirugía oncológica.
Tumores odontogénicos
Patología de glándulas salivales
Evaluación de bultos, inflamación o dolor en las glándulas que producen saliva, como parótidas o submandibulares.
Tumores Óseos
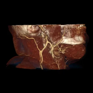
Malformaciones vasculares hemangionas
El diagnóstico y el tratamiento de las malformaciones arteriovenosas requieren un amplio conocimiento de esta rara enfermedad.
Son alteraciones congénitas del desarrollo vascular causando lesiones identificables de la piel mucosa y tejidos blandos, generalmente benignos, sus presentaciones clínicas varían conforme a la extensión y localización.
Lesiones en la lengua
Trauma facial
Corrección de fracturas o lesiones causadas por golpes, accidentes o caídas que han afectado huesos faciales o estructuras bucales.
Osteomielitis y osteonecrosis de los maxilares
Entre 2003 y 2004 aparecen en la literatura científica los primeros casos que evidenciaban una asociación entre la administración de bisfosfonatos y exposiciones óseas de evolución tórpida en los huesos maxilares.
Esta enfermedad derivada del tratamiento con ciertos medicamentos que tienen una función esencial en el tratamiento de otras patologías, y suele cursar en el paciente con:
- Dolor
- Supuración (infección)
- Hueso expuesto (que pueden llegar a progresar a fractura patológica)
Se considera un proceso multifactorial, importante papel de la infección, inflamación, sepsis oral y trauma. Patologia qué requiere tratamiento de especialistas altamente calificados.
Factores de riesgo asociados:
- Quimioterapia
- Cáncer
- Inmunoterapia
- Diabetes mellitus
- Sexo femenino. Estrógenos
- Alteraciones de la coagulación
- Infecciones
- Tabaco
- Factores de riesgo dentales: patología periapical, enfermedad periodontal, abscesos dentales, procedimientos quirúrgicos que afecten al hueso, trauma por prótesis dentales desajustadas, exóstosis traumatizantes
- Drepanocitosis
- Lupus eritematoso sistémico
- Variaciones en la presión atmosférica
- Hemodiálisis
- Reacciones de hipersensibilidad
- Hipotiroidismo
- Enfermedades de depósito
- Corticoides
- Hipertensión arterial
- Artritis
- Discrasias hemáticas
- Enfermedades vasculares
- Abuso de alcohol
- Malnutrición
- Edad avanzada
- Enfermedad de Gaucher
- Infección por el virus de la inmunodeficiencia humana
- Inactividad crónica
- Hipertlipidemia y embolia grasa
- Osteoporosis
- Daño neurológico
Dolor Orofacial
“Experiencia sensorial y emocional desagradable asociada con daño tisular real o potencial” funciona como mecanismo protector que es percibida como resultado de un estímulo nociceptivo.
En el territorio Maxilofacial, cara y cuello podémos tener de origen neuropaticos, neurovasculares y articular.
Disfunción de articulación Temporomandibular
Es la segunda afección musculoesqueletica crónica mas común después del dolor lumbar crónico; puede afectar las actividades diarias básicas como comer y hablar, el funcionamiento psicosocial y la calidad de vida de una persona.
Las articulaciones temporomandibulares desempeñan un papel crucial en la masticación, en la expresión verbal y emocional.
Los trastornos incluyen síntomas de dolor orofacial.
Los nuevos criterios ofrecen un protocolo de evaluación basado en detectar trastornos intraarticulares que requieren historia clínica, exploración física, complementadas con imágenes para un diagnóstico y tratamiento definitivo.
Tratamiento: Artrocentesis
Sonrisa
Sonrisa gingival
Manejo de tejido gingival para mejorar apariencia.
Blanqueamiento dental
Sin esperar días o incluso semanas, sin necesidad de indicaciones o procedimientos laboriosos en casa.

Preguntas Frecuentes
¿Necesito una orden médica para acudir con ustedes?
No es indispensable, pero muchos pacientes llegan referidos por su médico familiar, dentista u otorrino. Si ya te recomendaron atención maxilofacial, podemos ayudarte.
¿Qué diferencia hay entre un dentista y un cirujano maxilofacial?
El cirujano maxilofacial es un médico con formación especializada en cirugía de cara, boca, mandíbula y cuello. Atiende problemas complejos que van más allá de la odontología general.
¿Cuánto cuesta una consulta de valoración?
El costo puede variar si vienes por aseguradora o de forma particular. Escríbenos por WhatsApp y te orientamos sin compromiso.
¿Atienden por aseguradora?
Sí. Recibimos pacientes asegurados por Bupa y Banorte, a través de Vitamedica. Conocemos el proceso y te ayudamos a gestionarlo.
¿Tienen opciones de pago?
Sí. Contamos con diferentes métodos de pago. Podemos orientarte por WhatsApp según tu caso y tratamiento.
¿Cómo sé si lo mío necesita cirugía?
Lo evaluamos durante tu consulta. No todos los casos requieren cirugía; nuestro compromiso es indicarte solo lo necesario.
¿Es dolorosa la cirugía?
Trabajamos con técnicas modernas, anestesia adecuada y seguimiento postoperatorio para que tengas la mejor experiencia posible.
¿Qué tan segura es una cirugía maxilofacial?
Muy segura, siempre que sea realizada por un especialista certificado como la Dra. Jakeline, con experiencia en casos complejos y respaldo ético.
¿Dónde están ubicados?
¿Cómo puedo agendar?
Escríbenos por WhatsApp y con gusto te ayudamos a resolver tus dudas o agendar tu valoración.
Agenda tu cita de valoración:

